Die ökonomische BIO Krone: Everest HPC

Rationell zur BIO Krone
Als kostengünstige und biokompatible Alternative zu metallischen Vollgusskronen können Restaurationen aus Everest HPC (High Performance Ceramic) Zirkonsilikatkeramik durch hervorragende Haltbarkeit und rationelle Bearbeitung überzeugen.
HPC-Blanks werden im kreidigen Rohzustand gefräst und anschließend gesintert. Dabei unterliegt das HPC-Material keinerlei Sinterschrumpfung und kann daher im bearbeiteten, ungesinterten KaVo Everest Elements Zustand im Artikulator funktionsgeprüft und ggf. noch korrigiert werden.
Die Kontaktpunkte bleiben auch nach dem Sintern erhalten. Das im ungesinterten Zustand dunkle HPC-Ausgangsmaterial nimmt erst durch den Sinterprozess seine endgültige zahnähnliche Färbung an.
Material
- Schrumpfungsfreies Zirkonsilikat
- Ausgezeichnete Biokompatibilität
- Stabile Biegefestigkeit von 340 MPa
- Herausragende Haltbarkeit
- Einfacher, rationeller Fertigungsprozess im Vergleich zur Gusstechnik
Indikationen
- Funktionelle Vollkronen im Molarenbereich
3-Punkt Biegefestigkeit
- 340 MPa
Präparationstechnik
- Stufen- oder Hohlkehlenpräparation
Befestigungsart
- Konventionelle Befestigung möglich
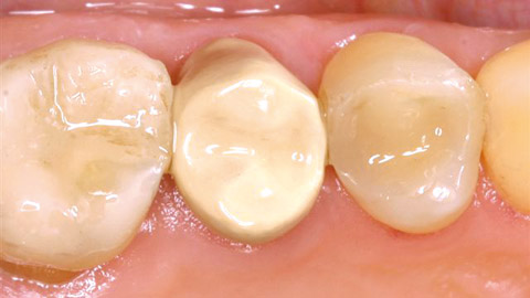
HPC Krone in Situ
![]() |
| Bild Studie Universität Freiburg |
Mit KaVo Everest können innovative Materialien mit biokompatiblen Eigenschaften verarbeitet werden. Die Material Rohlinge bestehen aus industriell gefertigten und optimierten Werkstoffen.
Die hochwertigen Materialeigenschaften bleiben über den gesamten Produktionsprozess erhalten, da Arbeitsschritte wie Gießen, Löten, Anmischen etc komplett entfallen. Gerüste können sich nicht wie beim Metallguss verziehen, sind also spannungsfrei, diese Eigenschaft ist nur eine der Grundforderungen in der Patientenversorgung.

